Vai al contenuto
Home
Casi clinici
Materiale Corsi
Contatti
Tommaso Bologna
Home
Casi clinici
Materiale Corsi
Contatti
Post di
Tommaso Bologna
Protesi adesiva
Tommaso Bologna
-
6:31 pm
Caso clinico – trattamento di overlay composito
read more
Endodonzia
Tommaso Bologna
-
2:29 pm
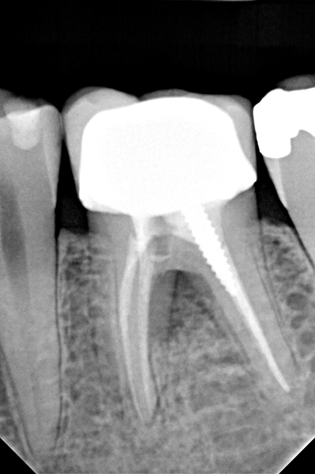
Caso clinico – ritrattamento ortogrado di 1° molare inferiore con lesione
read more
Endodonzia
Tommaso Bologna
-
2:27 pm
Caso clinico – trattamento ortogrado di 2° molare inferiore
read more
Endodonzia
Tommaso Bologna
-
3:55 pm
Caso clinico – trattamento ortogrado di 1° molare superiore con lesione
read more
Endodonzia
Tommaso Bologna
-
8:08 am
Caso clinico – trattamento ortogrado 1° molare superiore con lesione
read more
Protesi adesiva
Tommaso Bologna
-
8:03 am
Caso clinico – overlay in composito
read more
Protesi adesiva
Tommaso Bologna
-
8:02 am
Caso clinico – overlay in composito
read more
Conservativa diretta
Tommaso Bologna
-
8:01 am
Caso clinico – seconda classe distale 1° premolare superiore
read more
Protesi adesiva
Tommaso Bologna
-
7:59 am
Caso clinico – onlay in composito
read more
Endodonzia
Tommaso Bologna
-
7:57 am
Caso clinico – ritrattamento ortogrado con riparazione in MTA di perforazione del pavimento
read more
Posts navigation
Page
1
Page
2
Posts navigation
post meno recenti