Vai al contenuto
Home
Casi clinici
Materiale Corsi
Contatti
Tommaso Bologna
Home
Casi clinici
Materiale Corsi
Contatti
Protesi adesiva
Protesi adesiva
Tommaso Bologna
-
8:03 am
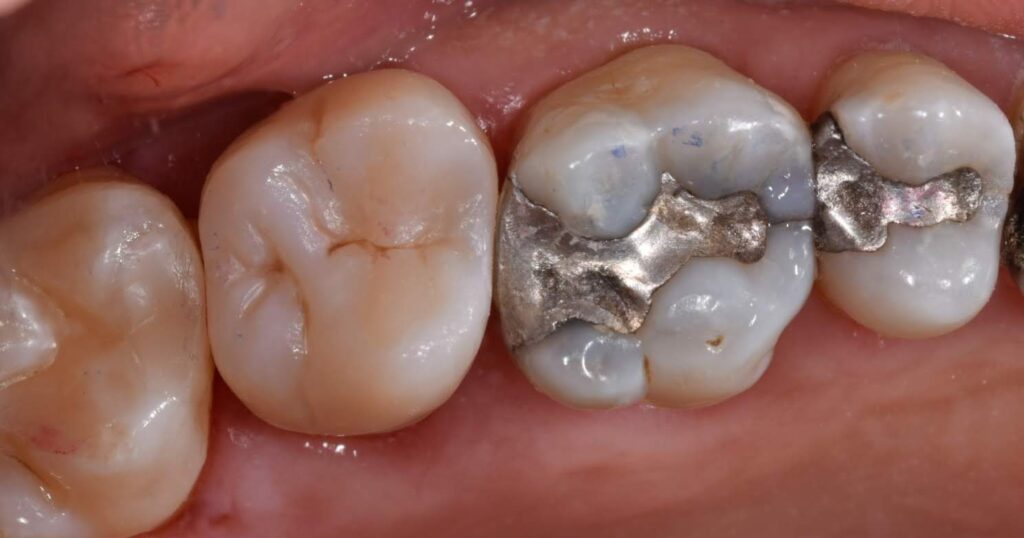
Caso clinico – overlay in composito
No Tag
Navigazione articoli
Previous post
Protesi adesiva
Navigazione articoli
Next post
Endodonzia
Comments are closed
Comments are closed