Su DI ME

Biografia

Nato a Fano il 13 Aprile del 1988, Tommaso Bologna si diploma al Liceo Classico G. Nolfi della stessa città.

Consegue la Laurea Magistrale in Odontoiatria e Protesi dentaria presso l’Università Politecnica delle Marche con Lode e immediatamente frequenta la clinica di Protesi dentaria e Conservativa per 2 anni, presieduta dal Prof. Giorgio Rappelli.

Si specializza nelle branche dell’Odontoiatria Conservativa, dell’ Endodonzia e della Protesi Adesiva svolgendo diversi corsi , con l’intenzione di acquisire esperienza e scientificità nel RECUPERO degli elementi dentari, nell’ottica di una odontoiatria guidata dalla conservatività.

Formazione

Associazioni di collaborazione

Odontoiatria Pratica
Società italiana di Parodontologia e Implantologia
Accademia Italiana di Conservativa
Società italiana di endodonzia
I MIEI LAVORI

Casi clinici

Alcuni dei miei casi di studio 

CONSERVATIVA
ENDODONZIA
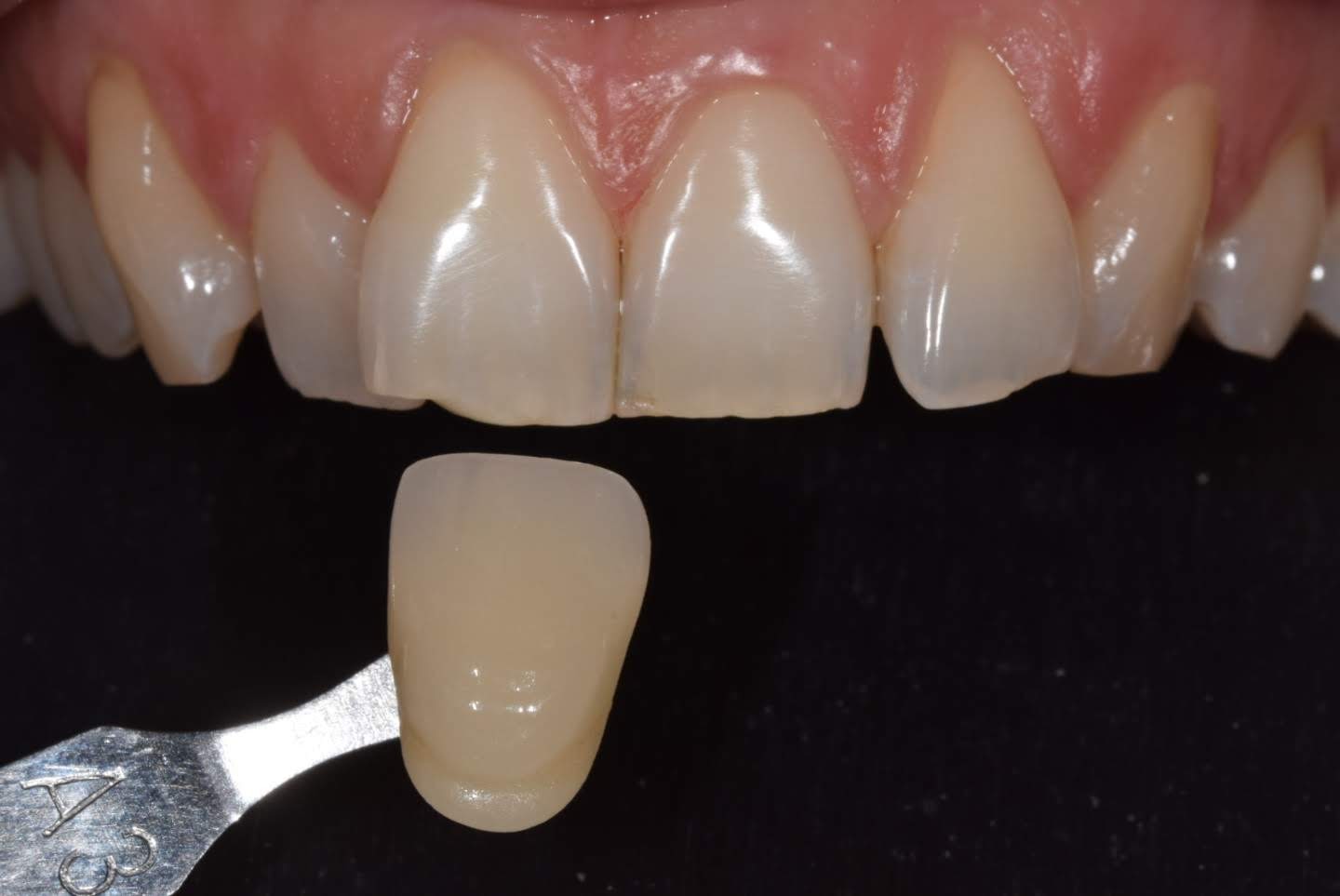
PROTESI ADESIVA
ESTETICA
BLOG

NOTIZIE E AGGIORNAMENTI

Informazioni su lavori, casi, seminari & altro

Caso clinico – trattamento di overlay composito
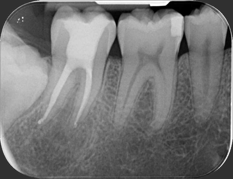
Caso clinico – ritrattamento ortogrado di 1° molare inferiore con lesione
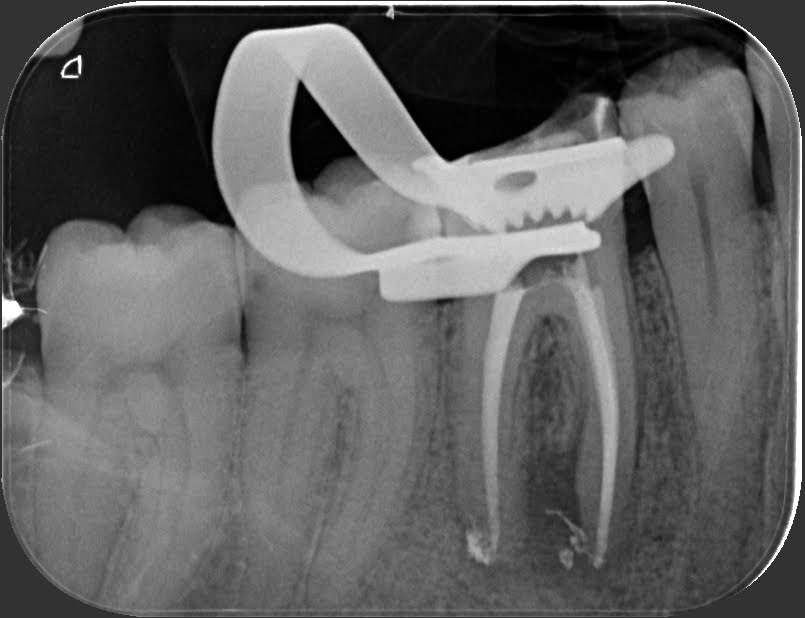
Caso clinico – trattamento ortogrado di 2° molare inferiore