Vai al contenuto
Home
Casi clinici
Materiale Corsi
Contatti
Tommaso Bologna
Home
Casi clinici
Materiale Corsi
Contatti
Conservativa diretta
Conservativa diretta
Tommaso Bologna
-
8:01 am
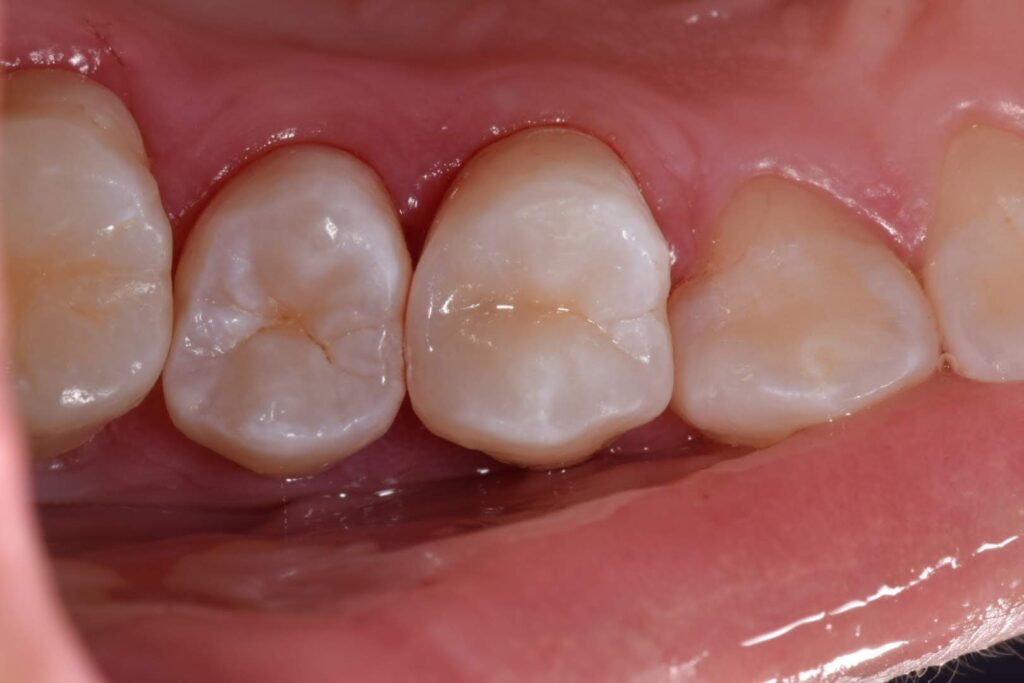
Caso clinico – seconda classe distale 1° premolare superiore
No Tag
Navigazione articoli
Previous post
Protesi adesiva
Navigazione articoli
Next post
Protesi adesiva
Comments are closed
Comments are closed