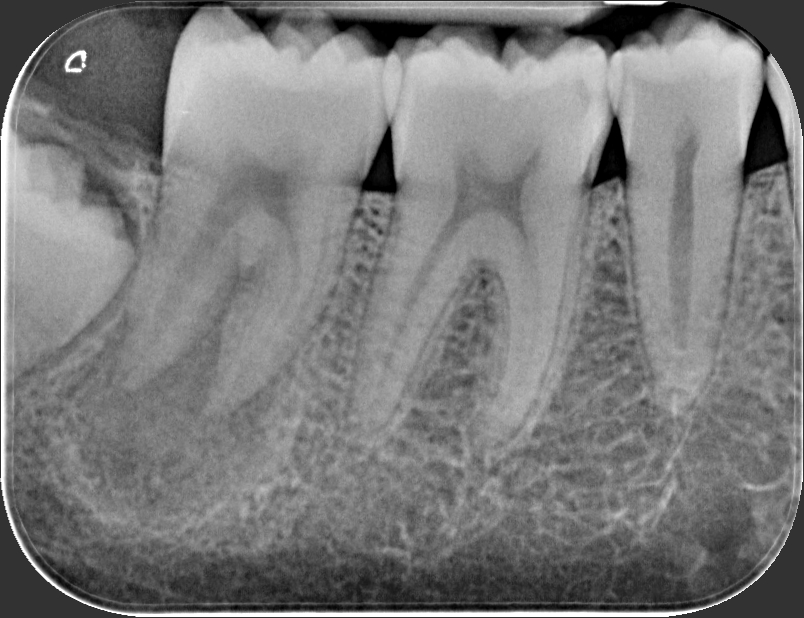
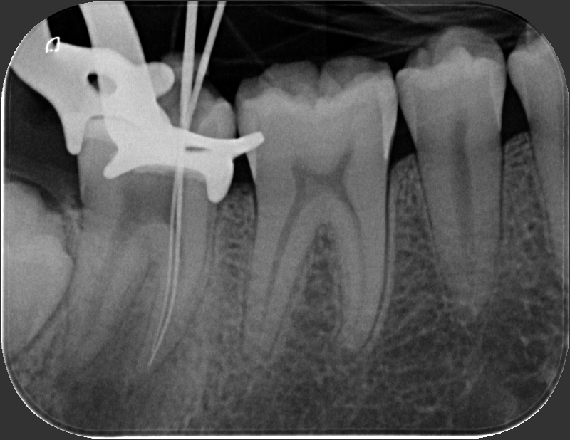
Caso clinico – trattamento ortogrado di 2° molare inferiore

Comments are closed