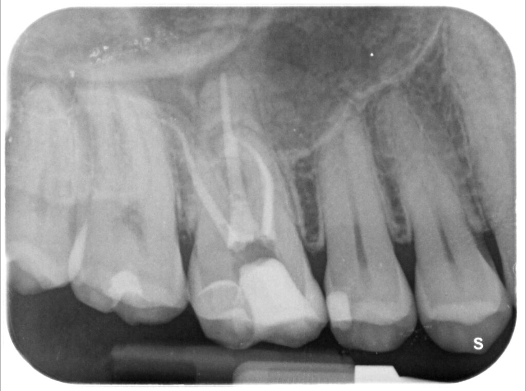
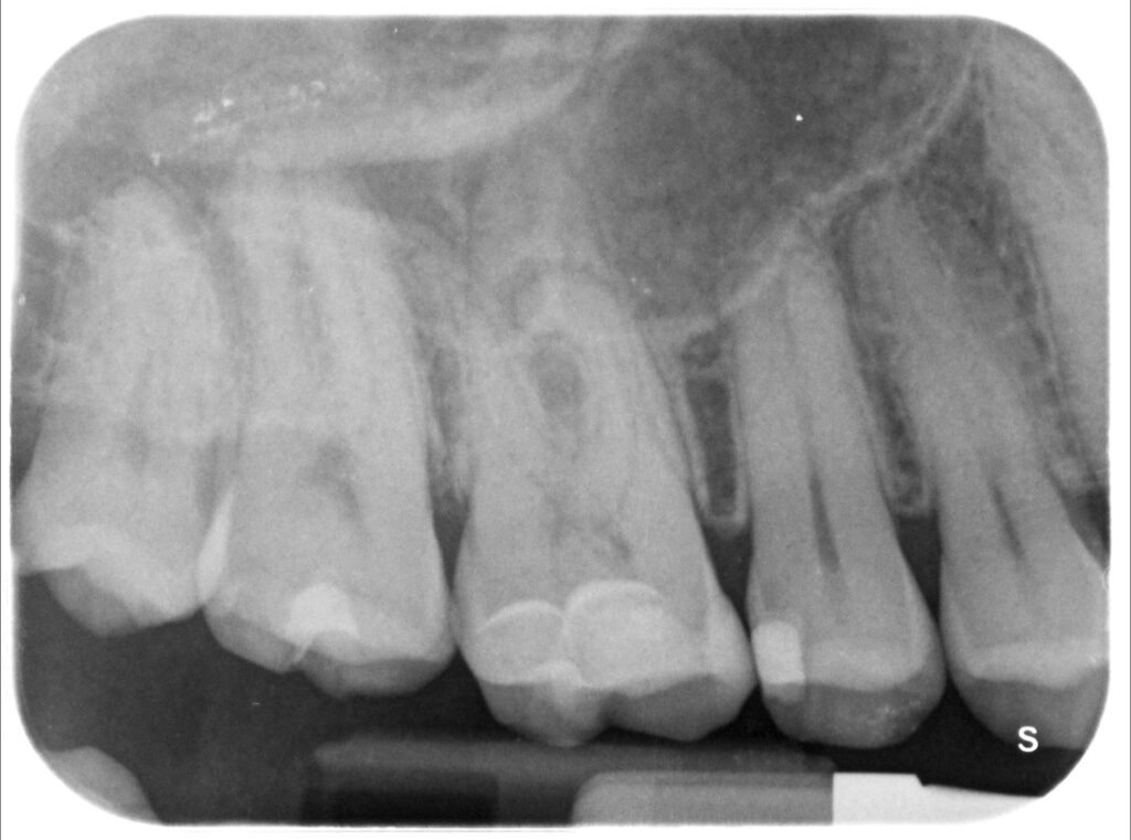
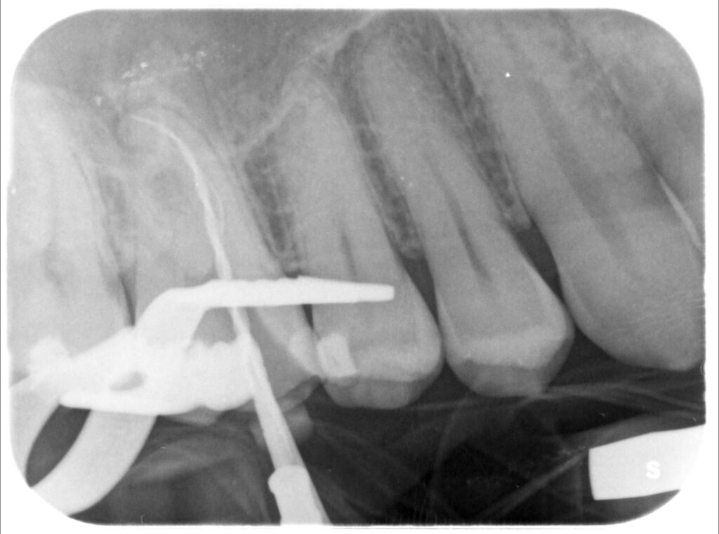
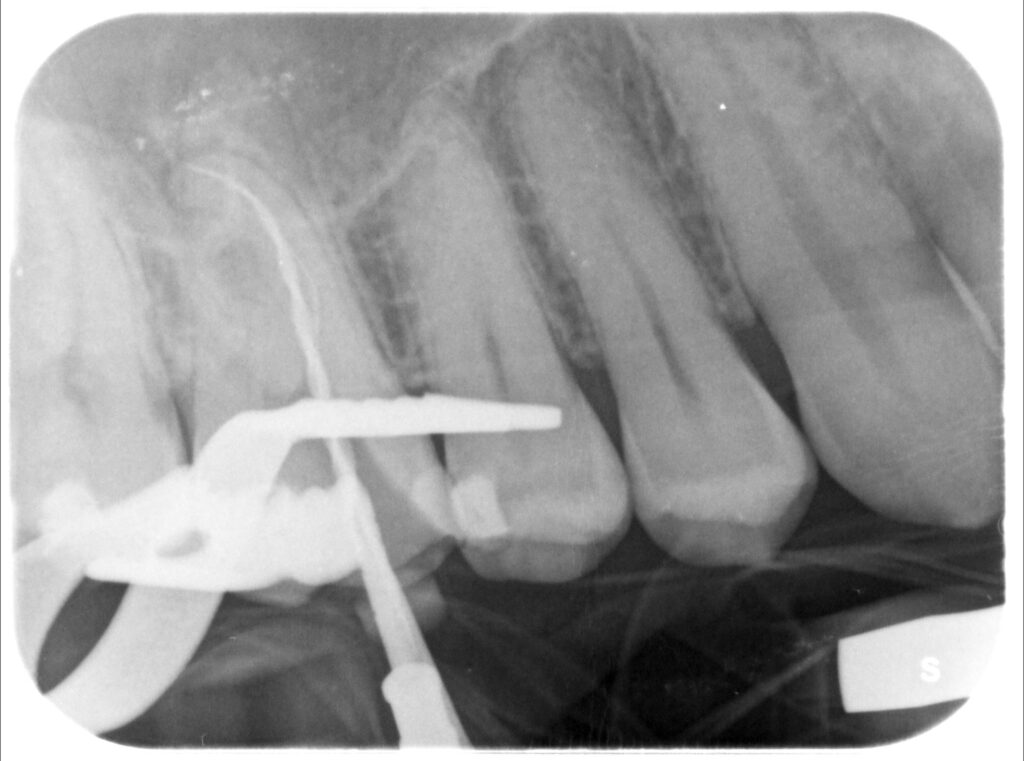
Caso clinico – trattamento ortogrado 1° molare superiore con lesione

Comments are closed