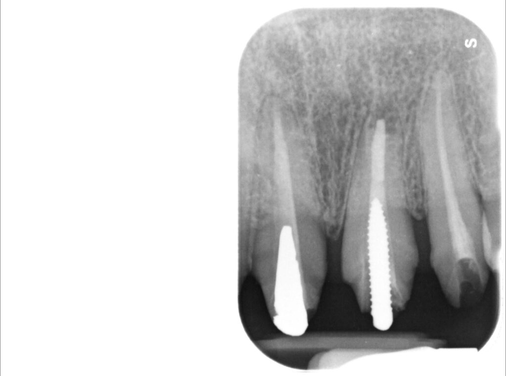
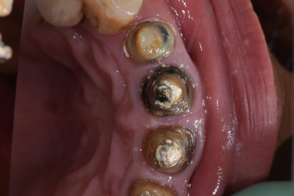
Caso clinico – ritrattamento ortogrado con apical plug in MTA

Comments are closed